NEW SMILE IN CROATIA FOR EVERYONE!
Have you been dreaming of your new smile for a long time, but you couldn’t afford it?
TO A NEW SMILE
AT AN AFFORDABLE PRICE
IN ZAGREB AT POLYCLINIC GIKIĆ
FREE INITIAL EXAMINATION + PANORAMIC X-RAY
FREE ACCOMMODATION IN POLYCLINIC APARTMENTS
EVERYTHING IN ONE PLACE
- Dental offices and operating rooms
- Accommodation in the polyclinic building for one or more nights
- Comprehensive care for patients from the beginning to the end of therapy
- Radiology Department: 2D and 3D digital diagnostics
- Local anaesthesia
- General anaesthesia upon request
- Dental laboratory
- All dental services
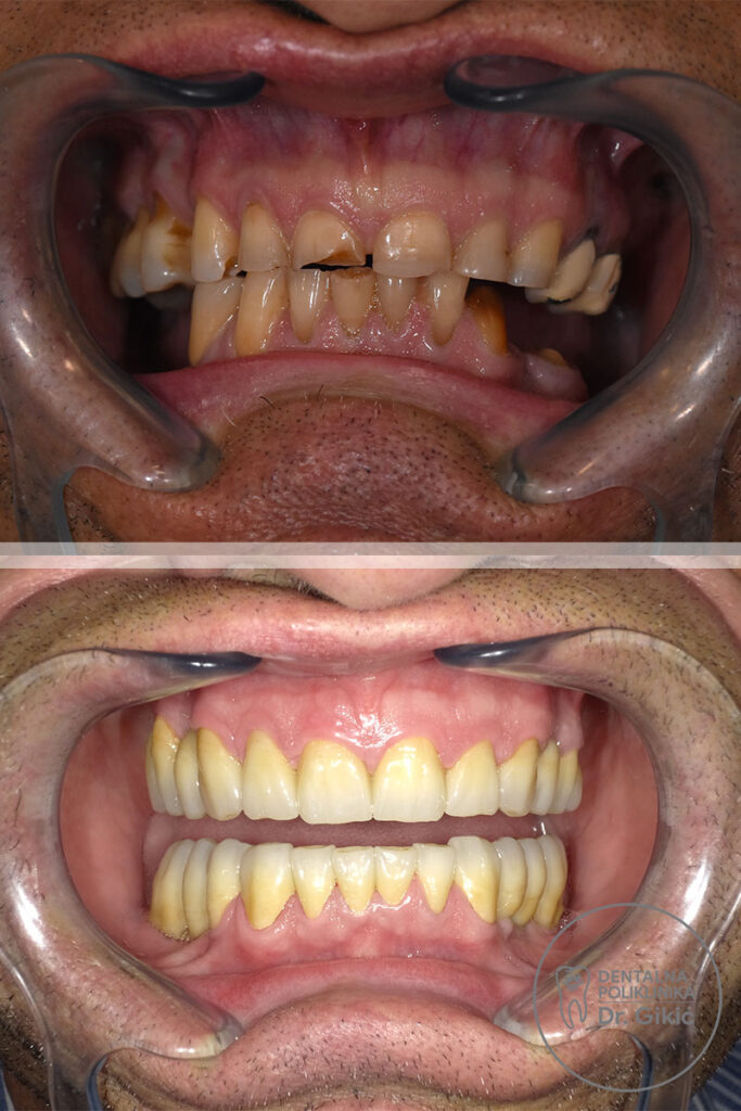
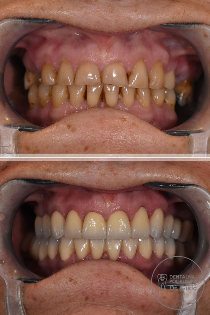
Complete reconstruction of one or both jaws
with temporary teeth – prototype in just 36 hours
HOW TO GET YOUR PERSONALISED SMILE MAKEOVER ABROAD?
DSD – DIGITAL SMILE DESIGN
Polyclinic Gikić is the first and only certified dental polyclinic for Digital Smile Design in Croatia and the region.
DSD or Digital Smile Design is used for planning your future smile. The greatest advantage is that you can see your NEW smile before the actual start of the treatment, which is not possible with traditional planning methods. This way, you can actively participate in creating your new smile!
We use the most advanced digital technology: digital intraoral scanner 3Shape Trios 5, Exocad software for smile design, 3D printer Asiga for making prototypes (mock-ups), and Ivoclar PrograMill PM7 and PM5 (CNC milling machine for making zirconia crowns, veneers, and bridges).
HIGHEST QUALITY DENTAL IMPLANTS FROM LEADING WORLD BRANDS
FULL ARCH SOLUTION STRAUMANNGROUP
ALL ON 4/6 NOBEL BIOCARE
Who are the candidates for dental crowns / bridges / veneers?
- Individuals with damaged teeth.
- Individuals in need of replacing broken or severely worn-out teeth.
- Individuals seeking to improve the aesthetics of their smile due to discoloured teeth.
- Individuals with one or more missing teeth.
- Individuals with treated teeth that cannot be restored with fillings.
View our Image Gallery of the Smile Makeovers
Choose:
- quality of smile according to world-class precision standards
- quality of dental materials
Successfully completed cases with over 9000 satisfied patients.
Enjoy free accommodation in recovery rooms or fully equipped apartments located in the building of the polyclinic, situated in the centre of Zagreb.
It’s only a 10-minute tram or car ride away, or a 30-minute leisurely walk that separates you from the main city square. The tram station is just 50 metres away from the polyclinic. Take a stroll around the neighbourhood, visit the old city centre while waiting for your new smile.
Experience the true spirit of Zagreb in this traditional city district.
FREE ACCOMMODATION
FREE INITIAL EXAMINATION
Meet our expert in standard and zygomatic implants at the free initial examination!
Dr. Matija Gikić, DMD, specialist in oral surgery, is one of the pioneers in Croatia and the region to start performing All on 4 and Zygoma procedures in 2014. Thanks to his expertise and years of experience, Polyclinic Gikić has earned certification to be the first ZYGOMA ZAGA centre in Croatia and the region.
We have developed our own protocol for maximum procedure success:
- Digital CT diagnostics – 3D CBCT scans
- Surgical planning using specialized 3D software coDiagnostiX
- Analysis of bone quality
Your safety and satisfaction are our top priorities.
Send us your inquiries and panoramic X-ray (not older than 6 months) via the contact form, or 3D scan through the free websites, JUMBOmail or WeTransfer, so we can create an approximate treatment plan for you.
Contact us!








